
Researchers in the Yu Lab at Harvard Medical School are advancing precision oncology using AI and high-performance computing.
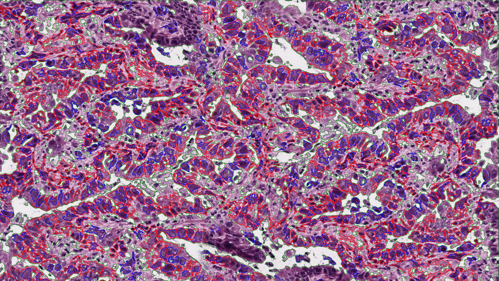
In a recent study, their models analyzed over 60,000 ultra-high-resolution whole-slide pathology images—each exceeding a billion pixels—alongside clinical datasets to distinguish cancer types, reducing diagnostic uncertainty, and improving treatment outcomes. These workflows relied on high-performance computing on HMS's Longwood cluster at the MGHPCC to process massive data volumes and train deep learning models.
By integrating scalable AI with biomedical informatics, the team were able to reveal predictive patterns in cancer biology and address bias in medical diagnostics, demonstrating the transformative impact of research computing in healthcare innovation.